پست های مشابه

دکتر جباریان

. مراقب لبخند فرزندان يكديگر باشيم! وظيفه همه ما به عنوان بزرگترهاي جامعه اينه كه مراقب كودكان جامعه باشيم پسر شش ساله عزيز ما با يك دوچرخه تصادف كرده و دچار آسيب جمجمه به همراه شكستگي آلوئول و لترال لاكسيشن سانترال چپ بالا شده بود. در مديريت همه انواع تروما توجه به دو نكته اهميت بسياري داره: - اول، مراجعه در اسرع وقت به دندانپزشك - دوم، تبعيت از دستورات مراقبتي به ويژه رعايت دقيق بهداشت . #trauma_children #alveolar_fracture #public_awareness #تروما #دندانپزشكي_كودكان #دندانپزشك_كودك_خود_باشيم

13 شهریور 1399 18:27:23

5 بازدید

دکتر جباریان

. کتاب مجموعه سوالات اندریاسن به همت رزیدنتهای بی نظیر و پرتلاش بخش کودکان دانشکده دندانپزشکی قزوین، پیشکش نگاه همه دانشجویان و به ویژه دستیاران تخصصی دندانپزشکی کودکان که به زعم من در حال تحصیل در یکی از زیباترین رشته های دنیا هستند😉 همراهی با رزیدنتهای عزیزمون باعث افتخار بنده بود. . #ترومای_دندانی #دندانپزشکی_کودکان #تروما .

30 خرداد 1400 18:01:25

1 بازدید

دکتر جباریان

. يكي از اهداف معاينات منظم دندانپزشكي كودك، نظارت بر جنبه هاي مختلف رويش دندان است. دندانپزشك كودكان با شناسايي زودهنگام اختلالات رويشي و در صورت لزوم، درمانهاي ارتودنسي مداخله گرايانه ساده و به موقع، مي تواند از آسيب ها و پيچيدگي مشكلات كودك كاسته و هزينه و زمان درمانهاي تخصصي بعدي را -در صورت نياز- كاهش دهد. ترانسپوزيشن (transposition) به جابجايي محل دو دندان مجاور گفته مي شود. در صورت كشف و درمان زودهنگام، مي توان از ترانسپوزيشن كامل دندان ها جلوگيري نمود. در اين نوع، آغاز درمان پيش از شروع رويش كانين اهميت دارد؛ با پيشرفت رويش كانين، احتمال تداخل با ريشه لترال و بروز عوارض تحليلي ريشه بيشتر است. پ ن: تصميم گيري در خصوص نوع حركات و توالي آنها در كودك عزيزم، به جهت جلوگيري از تداخل ريشه لترال با جوانه كانين دائمي صورت گرفت و به اين جهت، پايش راديوگرافيك منظم انجام شد. ساخت اپلاينس از جناب سعدي زاد توانا و هنرمند @dt.meysam.sadizad . . #رويش_دندان #درمان_ارتودنسي #pediatricdentistry #interceptive_orthodontics #permanent_teeth

04 اردیبهشت 1399 16:33:12

2 بازدید

دکتر جباریان

☕️ با ميزباني انجمن دندانپزشكي كودكان ايران به صرف يك فنجان تروما! . پنج شنبه ٢٩ آبان ساعت ١٨ الي ٢١ . #انجمن_دندانپزشكي_كودكان #تروما #dental_trauma

22 آبان 1399 17:56:10

3 بازدید

دکتر جباریان

. آيا تنها روش درمان پوسيدگي دندانهاي قدامي در كودكان كم سن و سال، درمان تحت آرامبخشي يا بيهوشي است؟ خير بسته به نوع، محل و مشخصات پوسيدگي و البته همكاري و درخواست والدين، دندانپزشك كودك مي تونه از روشهايي براي متوقف نمودن پوسيدگي استفاده كنه. علي كوچولوي من به تازگي دو سالش شده، در اولين مراجعه مامان عزيزش شنيده بودن تنها راه درمان پوسيدگيش، درمان تحت آرامبخشي يا بيهوشي است. اگرچه اين روش هم يكي از گزينه هاي بسيارمفيد پيش روي ماست، ولي با توجه به وضعيت پوسيدگي، تصميم گرفتيم با روش فلورايدتراپي Knutson و رعايت رژيم غذايي و بهداشت، پوسيدگي را به حالت متوقف دربياريم و به هدفمون رسيديم💪💪 در اين جلسه فالوآپ هم بدون ذره اي ناراحتي، مجددا فلورايدتراپي دريافت كرد و با جايزه و خاطره خوب به خونه شون رفت. از اين نكته غافل نشيم كه در درمان دندانهاي قدامي كودكان كم سن و سال (چه با هدف متوقف نمودن پوسيدگي و چه درمان تحت آرامبخشي يا بيهوشي) والدين در معناي واقعي كلمه بايد در منزل دندانپزشك كودك خود باشند. چون هدف درمان بدون تغيير سبك زندگي بهداشتي و غذايي كودك محقق نميشه. #دندانپزشك_كودك_خود_باشيم #arrested_caries #fluoride #happy_children #healthy_life_style

09 تیر 1399 07:54:16

3 بازدید

دکتر جباریان

Eruption process of permanent teeth involves resorption of primary teeth roots that was already maintained the tooth position in jaws. #dr_Razieh_Jabbarian #eruption #jaw #parents #child

22 فروردین 1399 13:19:45

4 بازدید

دکتر راضیه جباریان

0

0

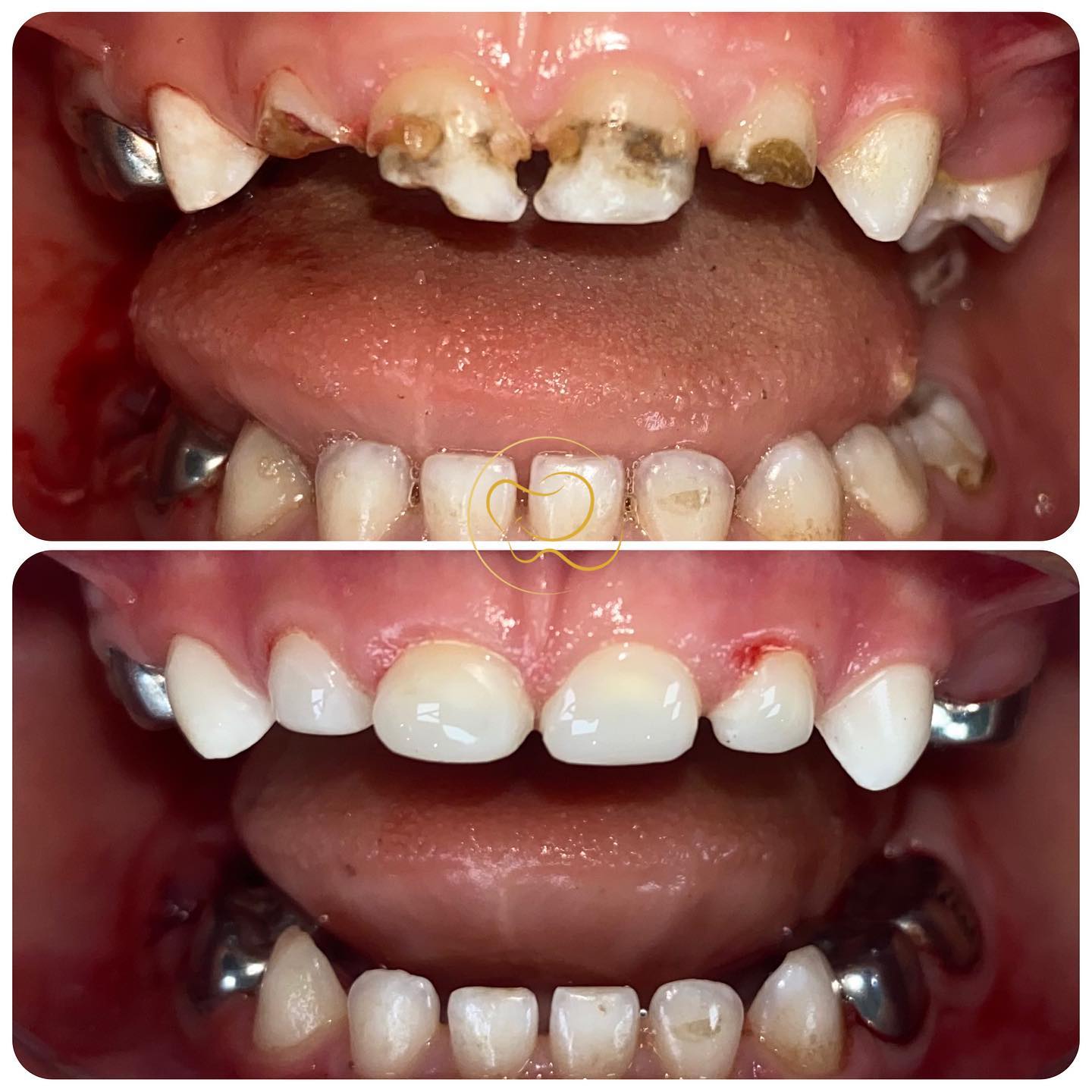
. بسياري از موارد مشاهده شده در كودكان، با اندكي تامل و صبر قابل ريشه يابي و درمان هستند. A case of delayed necrosis of lateral incisor and canine parimary teeth due to unreported trauma. #trauma #lesion #health #tooth #pediatric_dentist

شما میتوانید مطالب بیشتری از صفحات محتوایی و دیگر صفحات بامانو بخوانید

برای دسترسی نامحدود به مطالب و استفاده از امکانات دیگر اپلیکیشن بامانو مانند ساخت آلبوم خانوادگی، اپلیکیشن بامانو را نصب کنید. با عضو شدن شما از محتواهایی پشتیبانی میکنید که دوست دارید بیشتر از آن ها مطلع باشید

دکتر جباریان

دکتر راضیه جباریان

0

0

. بسياري از موارد مشاهده شده در كودكان، با اندكي تامل و صبر قابل ريشه يابي و درمان هستند. A case of delayed necrosis of lateral incisor and canine parimary teeth due to unreported trauma. #trauma #lesion #health #tooth #pediatric_dentist

شما میتوانید مطالب بیشتری از صفحات محتوایی و دیگر صفحات بامانو بخوانید

برای دسترسی نامحدود به مطالب و استفاده از امکانات دیگر اپلیکیشن بامانو مانند ساخت آلبوم خانوادگی، اپلیکیشن بامانو را نصب کنید. با عضو شدن شما از محتواهایی پشتیبانی میکنید که دوست دارید بیشتر از آن ها مطلع باشید

پست های مشابه

برو به اپلیکیشن